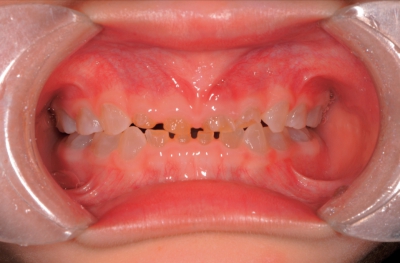
3歳5か月の男児。歯の色の異常を主訴として来院した。色調は萌出時から変化していないという。初診時の口腔内写真を別に示す。
考えられるのはどれか。1つ選べ。
a. Turner歯
b. 歯のフッ素症
c. Hutchinson歯
d. 象牙質形成不全症
e. エナメル質形成不全症
骨形成不全症に伴う歯科疾患。1型コラーゲンの異常による疾患。
乳歯・永久歯ともに歯の着色、エナメル質を介して形成不全の象牙質(琥珀色、オパール様)を認める。
前のページへ
次のページへ