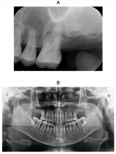
57歳の男性。左側の鼻漏と上顎左側第一大臼歯の咬合時の違和感を主訴として 来院した。1か月前に気付いたが、変化はないという。⎿6は周囲歯肉に発赤と腫脹はみられないが、軽度の打診痛があり、歯髄電気診で生活反応はなかった。初診時のエックス線写真及びCTを示す。
抗菌薬の投与とともにまず行うべき処置はどれか。1つ選べ。
a. 切開・排膿
b. 根尖部搔爬
c. 感染根管治療
d. 歯根尖切除術
e. 上顎洞根治術
前のページへ
次のページへ