医師免許申請用診断書
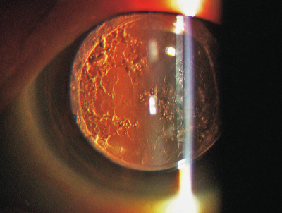
白内障手術後、2年経過して術眼の霧視を訴える患者の細隙灯顕微鏡写真(徹照像)を別に示す。認められるのはどれか。

a. 角膜白斑

b. 角膜後面沈着物

c. 前房蓄膿

d. 後発白内障

e. 硝子体混濁

解答を見る

過去問チャートは、医療系国家試験の過去問をテーマ別に整理・解説した無料の学習サービスです。
※公式問題・正答は厚生労働省公開資料をもとに整理しています。


システム設計・解説記入:米澤 昌紘(X : @leknyan
(医師/日本橋内科クリニック院長)