70歳の女性。労作時の息切れと下腿の浮腫とを主訴に来院した。6か月前から階段昇降時に息切れ、5か月前から下腿の浮腫を自覚し、前と比べて体重が5kg増加した。その後、息切れが増強するため受診した。
身長 160 cm、体重 56 kg。体温 36.8 ℃。脈拍 84/分、整。血圧 104/60 mmHg。呼吸数 24/分。SpO2 96%(room air)。顔面に浮腫を認める。眼瞼結膜は貧血様である。巨大舌を認める。心音でⅠ音とⅡ音の減弱があり、Ⅲ音とⅣ音とを聴取する。呼吸音に異常を認めない。脛骨前面に圧痕を残す浮腫を認める。
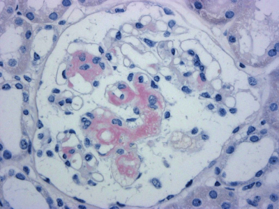
尿所見:蛋白 3+、糖(-)、潜血 2+、沈渣に赤血球 5~10/1視野、尿蛋白 4.5 g/日。血液所見:赤血球 400万、Hb 12.0 g/dL、Ht 36%、白血球5,400、血小板 27万。血液生化学所見:総蛋白 4.7 g/dL、アルブミン 2.0 g/dL、IgG 574 mg/dL(基準 960~1,960)、IgA 269 mg/dL(基準 110~410)、IgM 126 mg/dL(基準 65~350)、総ビリルビン1.0mg/dL、AST 35 U/L、ALT 40 U/L、LD 220 U/L(基準 176~353)、ALP 280 U/L (基準 115~359)、γ-GTP 48 U/L(基準 8~50)、尿素窒素 14 mg/dL、クレアチニン 0.7 mg/dL、尿酸 6.2 mg/dL、HbA1c 5.6 %(基準 4.6~6.2)、総コレステロール 300 mg/dL、トリグリセリド 320 mg/dL。免疫血清学所見:CRP 0.1 mg/dL、抗核抗体陰性。心電図は低電位である。胸部エックス線写真で心胸郭比 54%、肺野に異常を認めない。診断のため腎生検を行った。腎生検のCongo-Red染色標本を別に示す。
この患者の生命予後の判断に有用な検査はどれか。
a. 心エコー検査
b. レノグラム検査
c. 血中Dダイマー測定
d. 血中MPO-ANCA測定
e. 尿中β2-マイクログロブリン測定
