医師免許申請用診断書
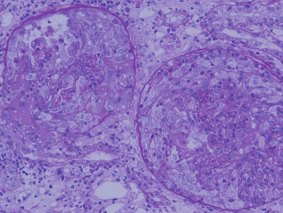
腎生検のPAS染色標本を別に示す。 この病理所見の原因となるのはどれか。

a. 痛風腎

b. 微小変化群

c. ANCA関連血管炎

d. 溶血性尿毒症症候群

e. コレステロール塞栓症

解答を見る

過去問チャートは、医療系国家試験の過去問をテーマ別に整理・解説した無料の学習サービスです。
※公式問題・正答は厚生労働省公開資料をもとに整理しています。


システム設計・解説記入:米澤 昌紘(X : @leknyan
(医師/日本橋内科クリニック院長)