医師免許申請用診断書
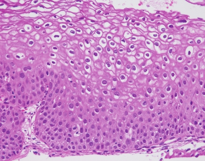
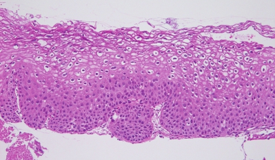
子宮頸部細胞診とコルポスコピィで異常所見を認めた患者に狙い組織診を行った。その際のH-E染色標本を別に示す。診断はどれか。

a. 子宮頸癌

b. 萎縮性腟炎

c. 子宮頸部異形成

d. クラミジア頸管炎

e. トリコモナス腟炎

解答を見る

過去問チャートは、医療系国家試験の過去問をテーマ別に整理・解説した無料の学習サービスです。
※公式問題・正答は厚生労働省公開資料をもとに整理しています。


システム設計・解説記入:米澤 昌紘(X : @leknyan
(医師/日本橋内科クリニック院長)