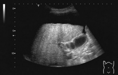
腹部超音波像を別に示す。この患者の血液検査項目で低値と予想されるのはどれか。
a. アンモニア
b. γ-グロブリン
c. 血小板
d. 総ビリルビン
e. PT-INR
腹部超音波像を別に示す。この患者の血液検査項目で低値と予想されるのはどれか。
a. アンモニア
b. γ-グロブリン
c. 血小板
d. 総ビリルビン
e. PT-INR
過去問チャートは、医療系国家試験の過去問をテーマ別に整理・解説した無料の学習サービスです。
※公式問題・正答は厚生労働省公開資料をもとに整理しています。
システム設計・解説記入:米澤 昌紘(X : @leknyan)
(医師/日本橋内科クリニック院長)