80歳の女性。右利き。突然、会話ができなくなったため、家族に連れられて来院した。本日午前8時、朝食中に突然話している言葉が異常になり、内容を家族が理解できなくなった。問いかけには返答せず、しきりに何かを訴えていたという。手足の動きはいつもと変わりなく、歩くことも可能であったが、言葉が改善しないため受診した。
意識は清明。身長150cm、体重41kg。体温36.7℃。脈拍104/分、不整。血圧 164/88 mmHg。何かを話しかけてくるが、造語のため理解できない。開口や上肢挙上などの簡単な指示に従わない。顔面は左右対称で舌に麻痺はなく、発語時に表情筋の左右差はない。四肢に麻痺はなく、勝手に起き上がろうとする。腱反射は正常、Babinski徴候は陰性である。感覚系と小脳系とに異常を認めない。
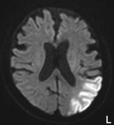
胸部エックス線写真で心胸郭比58 %。心電図で心房細動を認める。頭部MRIの拡散強調像を別に示す。
この患者で他に予想される所見はどれか。
a. 健忘症
b. 着衣失行
c. 左右失認
d. 運動性失語
e. 同名性半盲
