78歳の男性。下腹部痛と血尿とを主訴に来院した。1か月前から血尿が出現し、昨日からは下腹部痛も伴っている。4年前から夜間頻尿と排尿までに時間がかかることに対して、自宅近くの診療所で治療を受けている。
身長 165 cm、体重 64 kg。体温 36.8 ℃。脈拍 80/分、整。血圧 132/84 mmHg。呼吸数 16/分。腹部は平坦、軟で、肝・脾を触知しない。直腸指診で小鶏卵大、弾性硬の前立腺を触知し、圧痛を認めない。
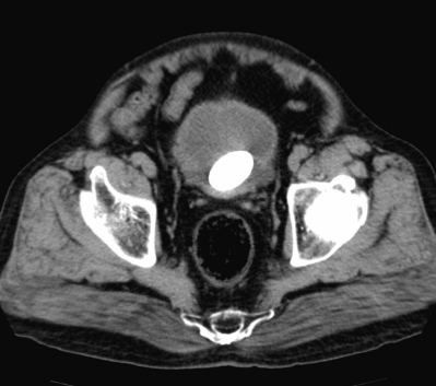
尿所見:蛋白2+、糖(-)、潜血3+、沈渣に赤血球多数/1 視野、白血球多数/1 視野。腹部エックス線写真と腹部CTとを別に示す。尿培養を提出して抗菌薬の投与を開始した。
次に行う治療として最も適切なのはどれか。
a. 膀胱全摘術
b. 結石溶解療法
c. 膀胱瘻造設術
d. 経尿道的膀胱砕石術
e. 体外衝撃波結石破砕術<ESWL>
