医師免許申請用診断書

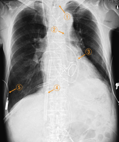
69歳の男性。心臓弁膜症手術直後で手術室に入室中である。循環動態が不安定であったため経皮的心肺補助<PCPS>と大動脈内バルーンパンピング<IABP>が留置されている。手術室を退室する前に撮影した胸部エックス線写真を別に示す。

肺動脈カテーテルはどれか。

a. ①

b. ②

c. ③

d. ④

e. ⑤

解答を見る

過去問チャートは、医療系国家試験の過去問をテーマ別に整理・解説した無料の学習サービスです。
※公式問題・正答は厚生労働省公開資料をもとに整理しています。


システム設計・解説記入:米澤 昌紘(X : @leknyan
(医師/日本橋内科クリニック院長)