42 歳の男性。頸部のリンパ節腫大を主訴に来院した。数年前から風邪をひきやすいと感じていた。1年前から両側の頸部にリンパ節腫大を自覚していた。自宅近くの医療機関を受診したところ、右頸部リンパ節の生検で悪性腫瘍が疑われたため紹介されて受診した。
両側の頸部に径3cm のリンパ節を数個触知する。右頸部に生検跡を認める。両側の腋窩に径2cm のリンパ節を1個触知する。脾を左肋骨弓下に3cm 触知する。
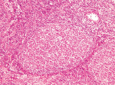
血液所見:赤血球 302 万、Hb 9.2 g/dL、Ht 30 %、白血球30,500(桿状核好中球 3 %、分葉核好中球 3 %、単球 6 %、リンパ球 88 %)、血小板19 万。リンパ節生検組織の H-E 染色標本を別に示す。
この患者のリンパ節の触診所見として最も考えられるのはどれか。
