50歳の女性。全身の皮下出血と鼻出血とを主訴に来院した。特に誘引なく右肩の紫斑が出現した。その後大腿や下腿にも紫斑が出現し、今朝から鼻出血が止まらないため受診した。5年前に乳癌に対して手術と抗癌化学療法とを受けた。
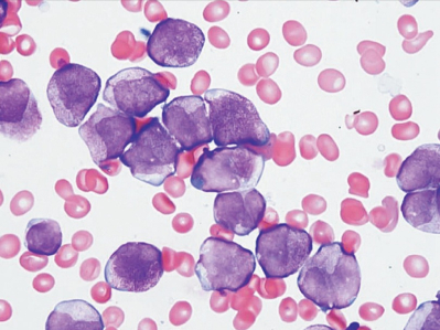
血液所見:赤血球278万、Hb8.8g/dL、Ht25%、白血球700、血小板5.1万、PT-INR1.2(基準0.9〜1.1)、APTT30.6秒(基準対照32.2)、血漿フィブリノゲン74mg/dL(基準200〜400)、血清FDP110μg/mL(基準10以下)、Dダイマー9.6μg/mL(基準1.0 以下)。骨髄血塗抹May-Giemsa染色標本を示す。
この患者に対する治療薬として適切なのはどれか。
a. 抗エストロゲン薬
b. 全トランス型レチノイン酸
c. トラネキサム酸
d. ドセタキセル
e. ヘパリン
