67 歳の男性。右上下肢の脱力を主訴に来院した。2週間前から右手で車のドアを開けることができない、歩行時に右足を引きずるなどの症状が徐々に進行したため受診した。
意識レベルはJCSⅠ-3。体温 36.2 ℃。脈拍 72/分、整。血圧 142/80 mmHg。呼吸数 16/分。右片麻痺を認める。
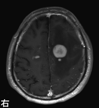
頭部造影MRI及び定位的脳生検術によって左前頭葉病変から採取した組織の H-E 染色標本と抗CD20抗体による免疫組織染色標本とを示す。FDG-PETでは脳以外に異常集積を認めない。
治療として適切なのはどれか。
a. 抗菌薬投与
b. 開頭腫瘍摘出術
c. アシクロビル投与
d. 定位的放射線治療
e. 大量メトトレキサート療法
