55 歳の女性。呼吸困難を主訴に来院した。1年前から左頸部の腫瘤を自覚していた。2か月前に呼吸困難が出現した。次第に増悪したため自宅近くの診療所を受診したところ、胸部エックス線写真で胸水を指摘され、左鼠径部にもリンパ節腫大を指摘されたため、紹介されて受診した。
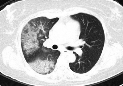
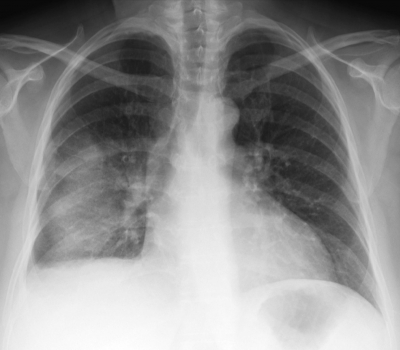
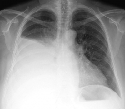
身長 151 cm、体重 70 kg。体温 36.8 ℃。脈拍 92/分、整。血圧 130/102 mmHg。呼吸数 18/分。SpO2 94 %(room air)。呼吸困難の原因は胸水貯留であると考え、入院の上、胸腔穿刺を行い胸水を排液した。呼吸困難は一時的に改善したが、 穿刺1時間後に強い呼吸困難と泡沫状の喀痰がみられ、SpO2 92 %(鼻カニューラ2L/分 酸素投与下)となった。 穿刺2時間後、症状はさらに悪化し、SpO2 85 %(マスク8L/分 酸素投与下)となったため気管挿管を行った。来院時と胸腔穿刺1時間後の胸部エックス線写真と胸部CTとを示す。
この患者に最も有効な呼吸管理はどれか。
来院時
胸腔穿刺1時間後
a. 分離肺換気
b. 持続的陽圧換気(CPPV)
c. 非侵襲的陽圧換気(NPPV)
d. T ピースによる 12 L/分酸素投与
e. リザーバー付マスクによる 10 L/分酸素投与
