56歳の男性。胸背部痛のため救急車で搬入された。本日、事務仕事中に突然の胸背部痛を訴えた後、意識消失した。意識は数秒で回復したが胸背部痛が持続するため、同僚が救急車を要請した。
意識は清明。身長 163 cm、体重 56 kg。体温 36.2 ℃。心拍数 92/分、整。血圧(上肢)右 194/104 mmHg、左 198/110 mmHg。 呼吸数 24/分。SpO2 100 %(マスク 10 L/分 酸素投与下)。心音と呼吸音とに異常を認めない。神経学的所見に異常を認めない。
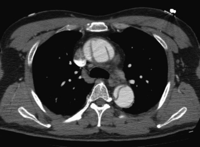
血液所見:白血球 21,000。血液生化学所見:AST 15 U/L、ALT 15 U/L、LD 261 U/L (基準 176〜353)、尿素窒素 18 mg/dL、クレアチニン0.6 mg/dL、尿酸 6.4 mg/dL、血糖 115 mg/dL、Na 142 mEq/L、K 3.8 mEq/L、Cl 107 mEq/L、心筋トロポニンT陰性。心電図に異常を 認めない。胸部造影CTを示す。
治療として適切なのはどれか。2つ選べ。
a. 血腫除去術
b. 心囊ドレナージ
c. 人工血管置換術
d. 大動脈内バルーンパンピング(IABP)
e. カルシウム拮抗薬の持続点滴静注による降圧
