54歳の女性。7時間前から心窩部痛を自覚したため救急外来を受診した。
意識は清明。体温 38.5 ℃。脈拍 80/分、整。血圧 154/94 mmHg。腹部は平坦で、右季肋部に圧痛を認める。
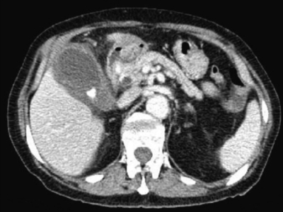
血液所見:赤血球 433 万、Hb 14.0 g/dL、Ht 42 %、白血球 12,400、血小板 17 万。血液生化学所見:アルブミン 4.5 g/dL、AST 24 U/L、 ALT 18 U/L、LD 161 U/L(基準 176〜353)、ALP 350 U/L(基準 115〜359)、γ-GTP 94 U/L(基準8〜50)、尿素窒素 21 mg/dL、クレアチニン0.7 mg/dL。 CRP 13 mg/dL。腹部造影CTを示す。
この患者に対する処置として適切なのはどれか。2つ選べ。
a. 結腸切除術
b. 胆囊摘出術
c. イレウス管留置
d. 経皮経肝胆囊ドレナージ術
e. 内視鏡的乳頭括約筋切開術
