2歳の女児。4日前から続く微熱のため母親に連れられて来院した。既往歴に特記すべきことはない。在胎 39 週、出生体重 2,602 g で出生した。
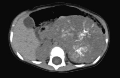
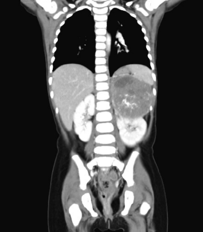
身長 82 cm、体重 9.3 kg。体温 37.8 ℃。脈拍 112/分、整。血圧 88/48 mmHg。呼吸数 24/分。SpO2 98 %(room air)。眼瞼結膜と眼球結膜とに異常を認めない。頸部リンパ節を触知しない。心音と呼吸音とに異常を認めない。左上腹部に表面平滑で境界明瞭、可動性のない径8cmの腫瘤を触知するが圧痛はない。
尿所見:蛋白(-)、糖(-)、潜血(-)、沈渣に白血球を認めない。血液所見:赤血球 428 万、Hb 11.1 g/dL、Ht 34 %、白血球 12,600、血小板 58 万。血液生化学所見:総蛋白 7.6 g/dL、総ビリルビン 0.2 mg/dL、AST 35 U/L、ALT9U/L、LD 589 U/L(基準 334〜742)、尿素窒素 7 mg/dL、クレアチニン 0.2 mg/dL、尿酸 2.7 mg/dL、Na 141 mEq/L、K3.9 mEq/L、Cl 104 mEq/L。免疫血清学所見:CRP 3.4 mg/dL、NSE 169 ng/mL(基準 10 以下)、α-フェトプロテイン(AFP)2.5 ng/mL(基準 10 以下)、尿中バニリルマンデル酸(VMA)96 μg/mgCr(基準 6〜11)。腹部単純CTと胸腹部造影CTとを示す。
最も考えられるのはどれか。
a. 神経芽腫
b. 褐色細胞腫
c. 成熟奇形腫
d. Wilms腫瘍
e. 悪性リンパ腫
