33歳の男性。右の下腹部から側腹部にかけての激しい痛みを主訴に来院した。2日前、仕事中に右背部に軽度の痛みが出現したが、約 30 分で軽快した。本日午前7時ごろ、右の下腹部から側腹部にかけての激しい痛みが突然出現したため受診した。来院の途中に嘔吐があった。
意 識は清明。体温 36.4 ℃。血圧 118/74 mmHg。顔色は蒼白で冷汗を認める。腹部は平坦で、圧痛を認めない。右の肋骨脊柱角に叩打痛を認める。
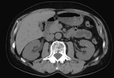
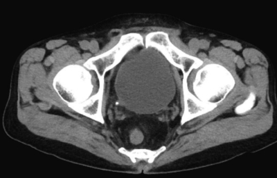
尿所見:蛋白(-)、糖(-)、潜血3+、沈渣に赤血球 100 以上/1視野、正八面体の結晶を認める。血液所見:赤血球 458 万、Hb 14.0 g/dL、Ht 45 %、白血球 9,300、血小板 21 万。血液生化学所見:総蛋白 7.2 g/dL、アルブミン 3.7 g/dL、総ビリルビン 0.9 mg/dL、直接ビリルビン 0.2 mg/dL、 AST 35 U/L、ALT 32 U/L、LD 179 U/L(基準 176〜353)、尿素窒素 22 mg/dL、クレアチニン 1.2 mg/dL、尿酸 6.9 mg/dL、血糖 98 mg/dL、Na 132 mEq/L、K 4.3 mEq/L、Cl 97 mEq/L、Ca 9.1 mg/dL。非ステロイド性抗炎症薬が投与され痛は軽減した。その後に撮影した腹部CT を示す。
この患者に対する説明で正しいのはどれか。
a. 水分摂取を勧める。
b. 手術治療が必要である。
c. ビタミンCの摂取を勧める。
d. 尿酸排泄促進薬が有効である。
e. カルシウムの摂取制限を勧める。
