53歳の男性。健診で白血球増多を指摘され来院した。
体温 36.5 ℃。脈拍 84/分、整。血圧 136/76 mmHg。眼瞼結膜と眼球結膜とに異常を認めない。心音と呼吸音とに異常を認めない。左季肋下に脾臓を3cm触知する。表在リンパ節は触知しない。
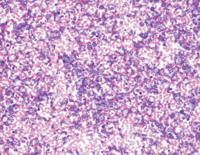
血液所見:赤血球 430 万、Hb 12.8 g/dL、Ht 42 %、白血球 54,000(骨髄芽球 1 %、前骨髄球 2 %、骨髄球 5 %、後骨髄球 7 %、桿状核好中球 5 %、分葉核好中球 60 %、好酸球 8 %、好塩基球 7 %、リンパ球 5 %)、血小板 35 万。血清ビタミン B12 8,600 pg/mL(基準 250〜950)。骨髄血塗抹 May-Giemsa 染色標本及び Giemsa 染色による骨髄細胞染色体解析(矢印は異常を示す)を示す。
治療薬として適切なのはどれか。
a. サリドマイド
b. JAK2阻害薬
c. プロテアソーム阻害薬
d. 全トランス型レチノイン酸
e. チロシンキナーゼ阻害薬
