65歳の男性。人間ドックの腹部超音波検査で異常を指摘されたため受診した。
腹部は平坦、軟で、自発痛と圧痛とを認めない。
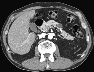
血液所見:赤血球 480 万、Hb 15.8 g/dL、Ht 46 %、白血球 6,800、血小板 24 万。血液生化学所見:アルブミン 4.3 g/dL、AST 32 U/L、ALT 40 U/L、LD 180 U/L(基準 176〜353)、ALP 212 U/L(基準 115〜359)、γ-GTP 40 U/L (基準 8〜50)、アミラーゼ 73 U/L(基準 37〜160)、CEA 3.2 ng/mL(基準 5.0 以下)、CA19-9 14 U/mL(基準 37 以下)。CRP 0.2 mg/dL。腹部造影CTとMRCP とを示す。
病変の質的診断を行うため次に行うべき検査はどれか。
a. 腹腔鏡検査
b. 腹腔動脈造影
c. 超音波内視鏡検査
d. 下部消化管内視鏡検査
e. 内視鏡的逆行性胆管膵管造影(ERCP)
 
    