医師免許申請用診断書

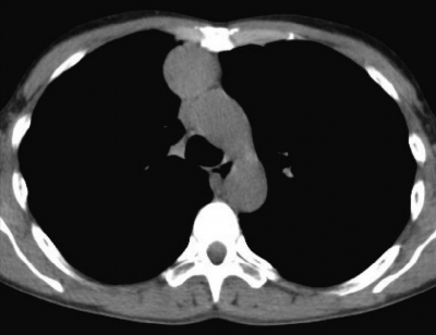
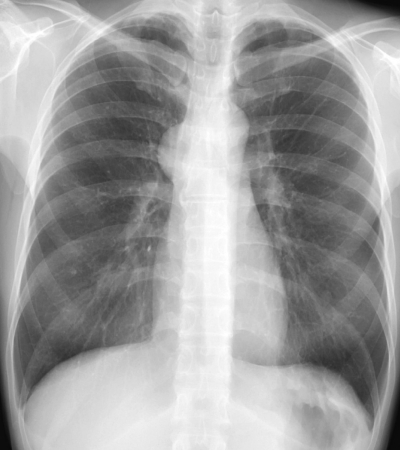
28歳の女性。健診で胸部の異常陰影を指摘されたため来院した。胸部エックス線写真と胸部CTとを示す。

診断のために必要性が低い検査項目はどれか。

a. hCG

b. β-Dグルカン

c. 可溶性 IL-2受容体

d. α-フェトプロテイン(AFP)

e. 抗アセチルコリン受容体抗体

解答を見る

過去問チャートは、医療系国家試験の過去問をテーマ別に整理・解説した無料の学習サービスです。
※公式問題・正答は厚生労働省公開資料をもとに整理しています。


システム設計・解説記入:米澤 昌紘(X : @leknyan
(医師/日本橋内科クリニック院長)