医師免許申請用診断書

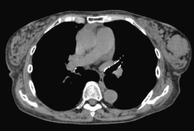
74歳の女性。左乳房のしこりを主訴に来院した。30 年前に左乳房にゴルフボール大のしこりがあるのに気付いていたが、大きさに変化がないためそのままにしていた。先日、入浴時にしこりの増大に気付き心配になり受診した。乳房に色調の変化やひきつれを認めない。表面平滑で弾性硬、可動性良好な径3cmの腫瘤を触知 する。腋窩リンパ節を触知しない。左乳房のマンモグラムと胸部CTとを示す。

考えられる診断はどれか。

a. 乳癌

b. 乳腺炎

c. 乳腺症

d. Paget病

e. 乳腺葉状腫瘍

解答を見る

過去問チャートは、医療系国家試験の過去問をテーマ別に整理・解説した無料の学習サービスです。
※公式問題・正答は厚生労働省公開資料をもとに整理しています。


システム設計・解説記入:米澤 昌紘(X : @leknyan
(医師/日本橋内科クリニック院長)