74歳の男性。腹痛のために救急車で搬入された。本日、突然、強い腹痛が生じた。横になって休んでいたが症状が持続し、冷汗も出現してきたため救急車を要請した。
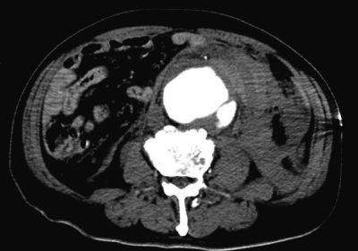
意識は清明。体温 36.4 ℃。心拍数 110/分、整。血圧 84/48 mmHg。呼吸数 18/分。SpO2 99 %(マスク 10 L/分 酸素投与下)。冷汗を認め皮膚は湿潤している。眼瞼結膜は貧血様であるが、眼球結膜に黄染を認めない。心音と呼吸音とに異常を認めない。腹部は軽度膨隆しており、拍動を触れ、bruit を聴取する。
血液所見:赤血球 315 万、Hb 10.0 g/dL、Ht 30 %、白血球 13,800、血小板 15 万。血液生化学所見:総蛋白 4.8 g/dL、アルブミン 3.3 g/dL、総ビリルビン 1.8 mg/dL、直接ビリルビン 0.2 mg/dL、 AST 92 U/L、 ALT 54 U/L、 LD 379 U/L (基準 176〜353)、ALP 129 U/L (基準 115〜359)、γ-GTP 17 U/L(基準 8〜50)、CK 138 U/L (基準 30〜140)、尿素窒素 18 mg/dL、クレアチニン 1.1 mg/dL、血糖 122 mg/dL、Na 135 mEq/L、K5.0 mEq/L、Cl 104 mEq/L。CRP 0.7 mg/dL。動脈血ガス分析(マスク 10 L/分 酸素投与下):pH 7.45、PaCO2 34 Torr、PaO2 166 Torr、HCO3- 23 mEq/L。腹部造影 CTを別に示す。
治療として適切なのはどれか。2つ選べ。
a. 動脈塞栓術
b. 血栓溶解療法
c. 人工血管置換術
d. 経皮的ドレナージ
e. ステントグラフト内挿術
