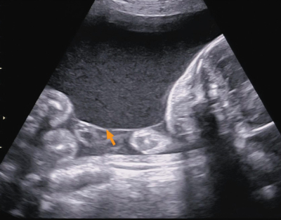
28歳の初妊婦。妊娠 24 週に急激な腹囲の増大と体重増加とを主訴に来院した。妊娠初期の超音波検査で1絨毛膜2羊膜性双胎と診断されている。来院時、子宮頸管長は 40 mm であった。超音波検査で両児間の推定体重に差を認めない。第1児の最大羊水深度を計測した超音波像と両児間の隔壁を示す超音波像とを別に示す。
この第1児について正しいのはどれか。3つ選べ。
a. 貧血である。
b. 羊水過多がある。
c. 第2児との間に血管吻合がある。
d. 第2児と比較して胎児水腫になりやすい。
e. 第2児と比較して胎児発育不全になりやすい。
