64歳の男性。腹部膨満感を主訴に来院した。3か月前から、左腹部の膨満感を自覚し、改善しないため受診した。既往歴に特記すべきことはない。
胸骨右縁第2肋間を最強点とする収縮期駆出性雑音を聴取する。呼吸音に異常を認めない。右肋骨弓下に肝を3cm触知する。左肋骨弓下に脾を3cm触知する。浮腫を認めない。
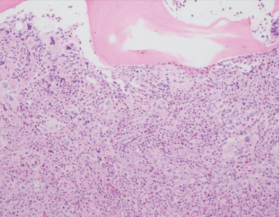
血液所見:赤血球 268 万、Hb 7.9 g/dL、Ht 26 %、網赤血球 1%、白血球 7,300、血小板 14 万。血液生化学所見:総蛋白 6.0 g/dL、アルブミン 3.2 g/dL、IgG 1,614 mg/dL (基準 960〜1,960)、IgA 369 mg/dL (基準 110〜410)、 IgM 182 mg/dL (基準 65〜350)、総ビリルビン 0.9 mg/dL、直接ビリルビン 0.2 mg/dL、AST 27 U/L、ALT 26 U/L、LD 477 U/L (基準 176〜353)、ALP 283 U/L (基準115〜359) 、尿素窒素 18 mg/dL、クレアチニン 0.8 mg/dL、尿酸 6.9 mg/dL。骨髄組織の H-E 染色標本及び鍍銀染色標本を別に示す。
この患者の末梢血に認められないのはどれか。
a. 骨髄球
b. 赤芽球
c. 骨髄芽球
d. 涙滴状赤血球
e. 赤血球連銭形成
