78歳の男性。血痰を主訴に来院した。1か月前から1日数回の血痰が出現したため受診した。発熱や咳嗽は自覚していない。6か月前の健診では特に異常を指摘されていない。喫煙歴は 20 本/日を 58 年間。
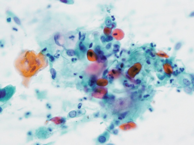
体温 36.7 ℃。脈拍 64/分、整。血圧122/78 mmHg。呼吸数 16/分。SpO2 97 %(room air)。眼瞼結膜と眼球結膜とに異常を認めない。心音と呼吸音とに異常を認めない。血液検査および胸部単純 CT で異常を認めない。喀痰細胞診の Papanicolaou 染色標本を別に示す。
次に行うべき検査はどれか。
a. 気管支内視鏡検査
b. 胸腔鏡検査
c. 縦隔鏡検査
d. 胸部 MRI
e. PET/CT
