17歳の女子。失神を主訴に受診した。2週間前のジョギング中に気分不快となり、その場にしゃがみこんだ。その後、意識が遠くなり、1分程度意識を消失した。1週間前にもソフトボールの試合中に、2分程度意識を消失した。その翌日、心配になり自宅近くの診療所を受診し、心電図異常を指摘され紹介受診となった。
意識は清明。身長 147 cm、体重 48 kg。体温 36.0 ℃。脈拍 76/分、整。血圧126/64 mmHg。呼吸数 18/分。眼瞼結膜と眼球結膜とに異常を認めない。頸動脈に血管雑音を聴取しない。頸静脈の怒張を認めない。心音にⅣ音を聴取する。胸骨右縁第3肋間にⅢ/Ⅵの収縮期駆出性雑音を聴取する。呼吸音に異常を認めない。腹部は平坦、軟で、圧痛を認めない。下dに浮腫を認めない。両足背動脈を触知する。神経診察に異常を認めない。
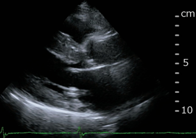
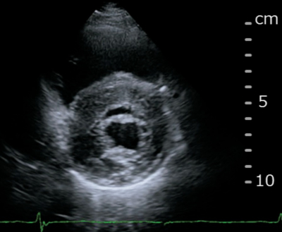
血液所見:赤血球 456 万、Hb 14.5 g/dL、白血球 8,900、血小板 17 万。心エコー図を別に示す。
患者への説明として適切でないのはどれか。
a. 「心臓の壁が厚くなっています」
b. 「激しい運動は避けてください」
c. 「不整脈の有無について検査が必要です」
d. 「心臓の周りに多量の水が溜まっています」
e. 「血縁者で同じ疾患を発症する場合があります」
