68歳の男性。手背の結節を主訴に来院した。3週間前に右手背の 3mm 大の皮疹に気付いた。皮疹が最近2週間で急速に増大してきたため受診した。
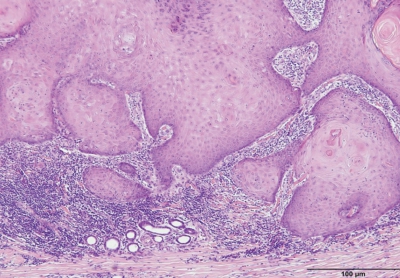
右手背に径12mm の褐色調の腫瘤を認め、中央に角栓を伴う。波動はなく弾性硬に触知する。腫瘤の部分生検では、中央が陥凹して角質が充満し、有棘細胞の腫瘍性増殖を認めた。腫瘤は生検1か月後にピーク時の25%以下に縮小した。右手背の写真及び生検組織の H-E 染色標本を別に示す。
最も考えられるのはどれか。
a. 粉瘤
b. 基底細胞癌
c. 有棘細胞癌
d. グロムス腫瘍
e. ケラトアカントーマ
