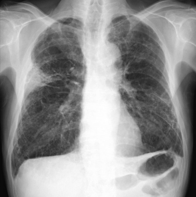
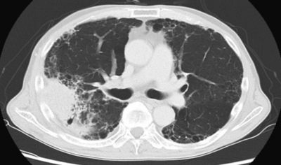
65歳の男性。胸部エックス線写真で右中肺野に異常陰影を指摘されて受診した。5年前から間質性肺炎を指摘されている。1年前に急性増悪で入院し、その後、外来で副腎皮質ステロイドの内服治療を受けていたが、ここ1年は症状が安定していたため、自己判断で内服を中断し受診していなかった。喫煙は 20 本/日を 40 年間。5年前から禁煙していたが、6か月前から喫煙を再開していた。胸部単純 CT で右肺上葉に腫瘤影を認め、経気管支肺生検で肺扁平上皮癌と診断された。全身検索の結果、右肺門部リンパ節転移を認めたが、それ以外には転移を認めなかった。
体温 36.6 ℃。脈拍 76/分、整。血圧 132/76 mmHg。呼吸数 12/分。SpO2 95 % (room air)。両側胸部で fine crackles を聴取する。呼吸機能検査:VC 3.5 L、FEV1 2.2L。心電図、心エコー検査で異常を認めない。胸部エックス線写真及び胸部単純CTを別に示す。
患者に手術の選択肢もあることを説明したところ手術を希望した。この患者の周術期について適切でないのはどれか。
a. 術後早期離床を行う。
b. 術前に禁煙指導を行う。
c. 術前から酸素療法を行う。
d. 術後間質性肺炎急性増悪のリスクがある。
e. 術後在宅酸素療法が必要になるリスクがある。
