84歳の男性。全身倦怠感と尿量の減少を主訴に来院した。3年前に胃癌の診断で幽門側胃切除術を受けたが、2年前から受診を中断している。3週前から全身倦怠感が出現し、5日前から尿量が減少したため受診した。
意識は清明。体温 36.7 ℃。脈拍 80/分、整。血圧 140/84 mmHg。呼吸数 18/分。眼瞼結膜は軽度貧血様で、眼球結膜に黄染を認めない。心音と呼吸音とに異常を認めない。腹部は平坦、軟で、上腹部に手術痕を認める。両下肢に圧痕性浮腫を認める。
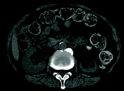
血液所見:赤血球 382万、Hb 11.1 g/dL、Ht 35%、血小板 10万。血液生化学所見:アルブミン 3.2 g/dL、総ビリルビン 1.3 mg/dL、AST 38 U/L、ALT 42 U/L、LD 230 U/L(基準 120〜245)、尿素窒素 40 mg/dL、クレアチニン 2.8 mg/dL、Na 132 mEq/L、K 5.6 mEq/L、Cl 98 mEq/L、CEA 7.8 ng/mL(基準 5以下)、CA19-9 69 U/mL(基準 37以下)。CRP 2.1 mg/dL。腹部超音波検査で膀胱内に尿を認めない。胸部エックス線写真で心胸郭比 56%。腹部単純CTを別に示す。
まず行う処置として適切なのはどれか。
a. 血液透析
b. 大量輸液
c. 利尿薬投与
d. 尿管ステント留置
e. 尿道カテーテル留置
