56歳の女性。気が遠くなるようなめまいを主訴に来院した。1年前に鼻翼に丘疹が出現した。皮膚サルコイドーシスと診断され、副腎皮質ステロイド外用薬の塗布により、3か月程度で皮疹は改善した。今朝から気が遠くなるようなめまいが出現したため受診した。
体温36.7℃。脈拍40/分、整。血圧132/72mmHg。眼瞼結膜と眼球結膜とに異常を認めない。頸静脈怒張を認めない。心音と呼吸音とに異常を認めない。
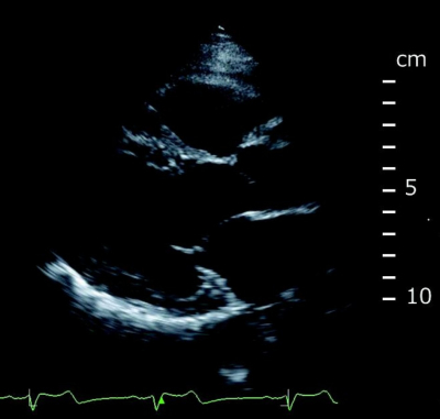
血液所見:赤血球414万、Hb 12.6g/dL、白血球5,400、血小板27万。血液生化学所見:総蛋白7.4g/dL、アルブミン4.3g/dL、AST 21U/L、ALT 22U/L、LD 261U/L(基準120〜245)、CK 78U/L(基準30〜140)、クレアチニン0.5mg/dL。CRP 0.1mg/dL。胸部エックス線写真で異常を認めない。心電図で完全房室ブロックを認める。心エコー図を別に示す。左室駆出率は45%であった。完全房室ブロックに対して一時的ペースメーカーを挿入した。
適切な治療はどれか。
a. NSAID
b. 抗結核薬
c. コルヒチン
d. リツキシマブ
e. 副腎皮質ステロイド
