60歳の女性。咳嗽を主訴に来院した。5年前から関節リウマチに対し、副腎皮質ステロイドとメトトレキサートの内服処方を受け、病状は安定している。1か月前から咳嗽が続いている。
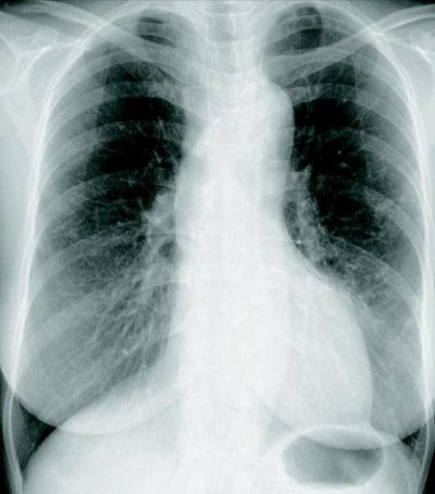
胸部エックス線写真及び胸部CTを別に示す。気管支鏡検査を行い、気管支洗浄液の抗酸菌検査で塗抹陽性で、非結核性抗酸菌が培養された。血液検査で抗MAC〈Mycobacterium avium complex〉抗体が陽性であった。
対応で適切なのはどれか。
a. 肺生検が必要である。
b. 接触者健康診断を行う。
c. 個室隔離のため入院させる。
d. 保健所への届出は不要である。
e. クラリスロマイシン単剤治療を行う。
