79歳の男性。右鼠径部から陰嚢にかけての膨隆を主訴に来院した。2年前から右鼠径部の膨隆を自覚していた。昨夜から還納できなくなり今朝から疼痛を伴うため受診した。
意識は清明。身長165cm、体重50kg。体温35.9℃。脈拍64/分、整。血圧140/66mmHg。呼吸数16/分。腹部は平坦、軟で、右鼠径部から陰嚢にかけて膨隆を認める。皮膚表面に変化を認めない。徒手的還納はできなかった。
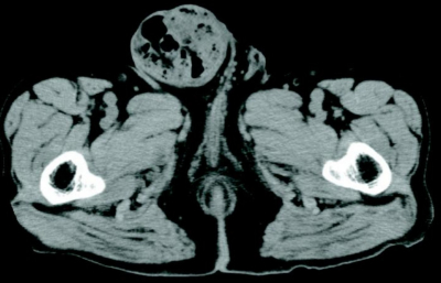
血液所見:赤血球459万、Hb 15.1g/dL、Ht 44%、白血球8,400、血小板25万。血液生化学所見:総蛋白7.7g/dL、アルブミン4.3g/dL、総ビリルビン0.9mg/dL、AST 26U/L、ALT 21U/L、LD 347U/L(基準120〜245)、CK 148U/L(基準30〜140)、尿素窒素18mg/dL、クレアチニン0.9mg/dL、血糖112mg/dL、Na 142mEq/L、K 4.2mEq/L、Cl 96mEq/L。CRP 0.9mg/dL。骨盤部CTを別に示す。
適切な対応はどれか。
a. 緊急手術
b. 高圧浣腸
c. イレウス管留置
d. 穿刺ドレナージ
e. 内視鏡的整復術
