医師免許申請用診断書

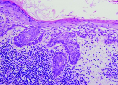
78 歳の女性。顔面の皮疹を主訴に来院した。4年前から右内眼角部に皮疹が出現し、徐々に増大したため受診した。受診時に右内眼角部に鱗屑を伴う不整形の紅斑を認める。紅斑の中央部から皮膚生検を行った。顔面の写真及び生検病理組織像を別に示す。

異型角化細胞の増殖がみられるのはどれか。

a. 角質層

b. 透明層

c. 顆粒層

d. 有棘層

e. 基底層

解答を見る

過去問チャートは、医療系国家試験の過去問をテーマ別に整理・解説した無料の学習サービスです。
※公式問題・正答は厚生労働省公開資料をもとに整理しています。


システム設計・解説記入:米澤 昌紘(X : @leknyan
(医師/日本橋内科クリニック院長)