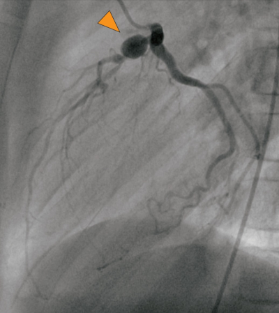
17歳の男子。肝動脈バイパス術後の定期診察で来院した。3歳時に川崎病と診断され入院加療となった。冠動脈瘤が認められたため、退院後、冠動脈病変についてもフォローアップが行われた。8歳時に施行された冠動脈造影では、左右冠動脈に病変が認められた。その際の左冠動脈の造影像を別に示す。その後、左右の冠動脈に1本ずつバイパス血管吻合術が行われた。
今回、バイパス血管の開存の確認のため心電図同期の胸部造影CTを行った。
正しいのはどれか。
3D再構築像
矢印=冠動脈へのバイパス血管
a. バイパス血管に多数の石灰化が認められる。
b. 左冠動脈の瘤病変(▲)は左回旋枝に存在している。
c. 冠動脈へのバイパス血管は2本とも開存している。
d. バイパス血管には2本とも大伏在静脈が用いられている。
e. バイパス血管は瘤病変より近位部の冠動脈に吻合されている。
