47歳の女性。食欲不振を主訴に来院した。2か月前から立欲が低下し、体重が3kg減少したため受診した。
意識は清明。身長 156cm、体重 46 kg。体温 36.0 ℃。脈拍 80/分。整。血圧 128/72 mmHg。眼瞼結膜と眼球結膜とに異常を認めない。頚部リンパ節を触知しない。心音と呼吸音とに異常を認めない。腹部は平坦、軟で、肝・脾を触知しない。
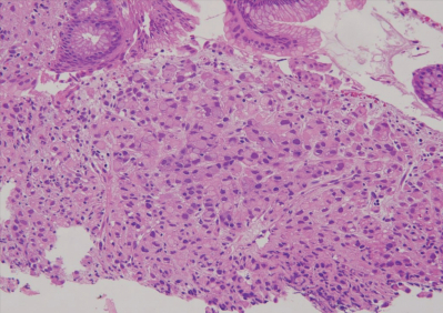
血液所見:赤血球366万、Hb11.9 g/dL、Ht35 %、白血球 3.600、血小板 13万。血液生化学所見:総蛋白 6.9 g/dL、アルブミン 3.7 g/d.L、総ビリルビン1.0 mg/d.L、AST 22 U/L、ALT 14 U/L、LD 180 U/L(基準 120~245)、ALP 204 U/L(基準 115~359)、γ-GT 35 U/L(基準 8~50)、尿素窒素 10 mg/dL、クレアチニン 0.6 mg/dL、血糖 88 mg/dL、Na 140 mEq/L、K 4.0 mEq/L、Cl 106 mEq/L。便中Helicobacter Pylori抗原陽性。胸腹部CTで胃壁の肥厚を認める以外異常を認めない。上部消化管内視鋭像及び生検組織のH-E染色標本とを別に示す。
まず行うべき対応として適切なのはどれか。
a. 胃切除術
b. 局所放射線照射
c. 内視鏡的粘膜下層剥離術
d. Helicobacter pylori除菌療法
e. 免疫チェックポイント阻害薬による治療
