85歳の女性。3週前から全身倦怠感の訴えがあった。トイレの中で倒れて肩で息をしているところを家族に発見され救急搬送された。
意識は混濁。体温 35.1 ℃。心拍数 44/分。血圧 80/40 mmHg。呼吸数 12/分。SpO₂ 78%(マスク 5L/分酸素投与下)。顔面は浮腫状で眉毛は薄く、皮膚は乾燥している。前頸部の腫大と下腿浮腫を認めた。
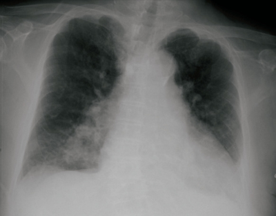
胸部エックス線写真を別に示す。血液検査では、TSH 160.5 μU/mL(基準 0.2~4.0)、FT₄ 0.04 ng/dL(基準 0.8~2.2)。
この患者で高値を認めるのはどれか。2つ選べ。
a. CK
b. 血糖値
c. ナトリウム
d. カルシトニン
e. 総コレステロール
