68歳の女性。救急外来での血液検査で高カルシウム血症を指摘されたことを主訴に来院した。3日前に背部痛で救急外来を受診し、尿路結石症と診断された。高血圧症で通院中であり、尿路結石発作を過去に3回経験している。
意識は清明。体温 36.2 ℃。脈拍 82/分、整。血圧 156/90 mmHg。心音と呼吸音とに異常を認めない。右背部に叩打痛を認める。神経診察に異常を認めない。
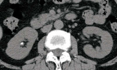
血液生化学所見:アルブミン 3.7 g/dL、Ca 11.2 mg/dL、P 2.4 mg/dL、副甲状腺ホルモン〈PTH〉 170 pg/mL( 基準 10~60)。腹部CTを別に示す。
この患者の検査値として適切なのはどれか。2つ選べ。
a. 大腿骨頸部骨密度低値
b. 尿中P再吸収(%TRP) 低値
c. 尿中Ca排泄量減少
d. 血中補正Ca濃度 12.5 mg/dL
e. 血中1,25(OH)ビタミンD低下
