25歳の女性。3か月前に虫垂炎で入院した際行われた腹部超音波検査で腎臓の異常を指摘され、母の腎臓病が遣伝していないか心配で検査を希望して来院した。母は58歳で、遺伝性腎疾患のため1か月前から透析している。母方祖父も60歳から同病で透析をしており、5年前に脳出血で亡くなった。父からの家系に同病の人はいない。
身長 160 cm、体重 51 kg。血圧 110/70 mmHg。脈拍 80/分、整。心音と呼吸音とに異常を認めない。腹部は平坦、軟で、腫瘤は触知しない。
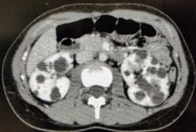
尿所見:蛋白(-)、糖(-)、潜血反応(-) 。腹部造影CTを別に示す。母と同病であると診断された。近く、結婚予定で挙児希望がある。パートナーの家系に同病の人はいない。
この患者の子どもが同遺伝性腎疾患を有する確率はどれか。
