74歳の男性。歩行障害、見当識障害および尿失禁を主訴に来院した。約3か月前から開脚で小刻みな歩行をする、ようになった。 2週前より動作が緩慢となり、日付を間違えるようになった。1週前から尿失禁をするようになったため受診した。
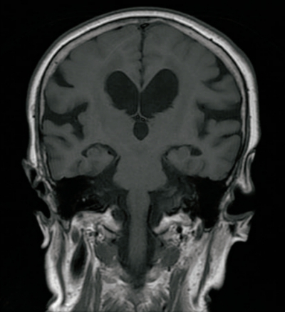
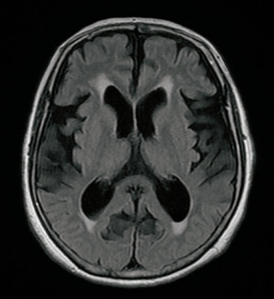
意識はJCSⅠ-2。体温 36.5 ℃。脈拍 86/分、整。血圧 142/88 mmHg。呼吸数 14/分。SpO₂ 97% (room air)。Mini-MentalState Examination〈MMSE〉23点(30点満点) 。頭部MRIのFLAIR水平断像及びT1強調冠状断像を別に示す。
確定診断と治療方針の決定に有用なのはどれか。
a. 脳波
b. 脳血管撮影
c. 浸透圧利尿薬の負荷
d. MIBG心筋シンチグラフィ
e. 脳脊髄液排出試験〈Taptest〉
