58歳の女性。下腿の浮腫を主訴に来院した。毎年職場健診を受診していたが、異常は指摘されなかった。半年前の健診ではじめて蛋白尿を指摘されたが、症状がないのでそのままにしていた。1か月前から両下腿の浮腫が出現し、次第に増悪したので受診した。
身長 160 cm、体重 60 kg。脈拍 64/分、整。血圧 132/90 mmHg。胸腹部に異常を認めない。両下腿に圧痕性浮腫を認める。皮膚に異常を認めない。
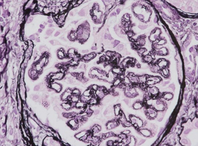
尿所見:蛋白 3+、糖(−)、潜血(−)、沈渣に赤血球 0~2/HPF、白血球 0~2/HPF、硝子円柱を少数認める。随時尿の尿蛋白 280 mg/dL、クレアチニン 70 mg/dL。血液所見:赤血球 460万、Hb 13.1 g/dL、Ht 42%。血液生化学所見:総蛋白 5.3 g/dL、アルブミン 2.6 g/dL、IgG 1,100 mg/dL(基準 960~1,960)、IgA 386 mg/dL(基準 110~410)、lgM 188 mg/dL(基準 65~350)、尿素窒素 31 mg/dL、クレアチニン 1.3 mg/dL、eGFR 33.5 mL/分/1.73m2、尿酸 7.0 mg/dL、血糖 102 mg/dL、HbA1c 5.9%(基準 4.6~6.2)、LDLコレステロール 213 mg/dL。免疫血清学所見:CRP 0.1 mg/dL、抗核抗体 20倍(基準 20以下)。腎生検のPAM染色標本Aと蛍光抗体IgG染色標本Bとを別に示す。Congo-Red染色は陰性である。
尿蛋白の原因として最も考えられるのはどれか。
a. 膜性腎症
b. 強皮症腎
c. 糖尿病性腎症
d. アミロイド腎症
e. 微小変化型ネフローゼ症候群
