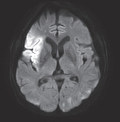
A 64-year-old man was brought to the emergency department because of left hemiplegia with impaired consciousness.
On physical examination, consciousness level was GCS E4V4M6, blood pressure 164/82mmHg, pulse rate 96/min and irregular. Neurological examination was unremarkable except for left hemiplegia. No carotid bruit was heard on either side. Brain MRI is shown in the figure.
Which of the following is the most likely ECG diagnosis?
a. Atrial fibrillation
b. Supraventricular tachycardia
c. Third-degree atrioventricular block
d. Ventricular fibrillation
e. Ventricular tachycardia
