医師免許申請用診断書

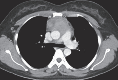
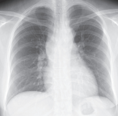
34歳の女性。前胸部痛を主訴に来院した。3か月前から前胸部痛が出現し徐々に増強してきた。体温36.8℃。血圧118/64mmHg。SpO2 98%(room air)。心音と呼吸音に異常を認めない。胸部エックス線写真と胸部造影CTとを別に示す。

考えられる疾患はどれか。2つ選べ。

a. 胸腺腫

b. 神経鞘腫

c. 心膜嚢胞

d. 胸膜中皮腫

e. 悪性リンパ腫

解答を見る

過去問チャートは、医療系国家試験の過去問をテーマ別に整理・解説した無料の学習サービスです。
※公式問題・正答は厚生労働省公開資料をもとに整理しています。


システム設計・解説記入:米澤 昌紘(X : @leknyan
(医師/日本橋内科クリニック院長)