44歳の女性。人間ドックで肝機能障害を指摘され来院した。輸血歴、飲酒歴、家族歴に特記すべきことはない。
眼球結膜に黄染を認めない。
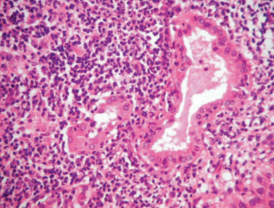
血液所見:赤血球496万、Hb 14.8 g/dL、Ht 44%、白血球 5,200、血小板 25万。血液生化学所見:総蛋白 7.5 g/dL、アルブミン 3.9 g/dL、AST 26 U/L、ALT 32 U/L、ALP 238 U/L(基準 38~113)、γ-GT 266 U/L(基準 8~50)。免疫血清学所見:HBs抗原陰性、HCV抗体陰性。肝生検組織の門脈域のH-E染色標本を別に示す。
予想される血液検査値はどれか。2つ選べ。
a. IgM高値
b. 胆汁酸低値
c. 総コレステロール低値
d. 抗ミトコンドリア抗体陽性
e. α-フェトプロテイン〈AFP〉高値
