40歳の男性。心窩部痛を主訴に来院した。昨日から心窩部痛を自覚していた。本日夕方、突然に激痛となり、動けなくなったため救急搬送された。
身長 172cm、体重 52kg。体温 37.0℃。心拍数 116/分、整。血圧 138/60mmHg。呼吸数 18/分。SpO2 97%(room air)。意識は清明。腹部は平坦で、全体に筋性防御を認め、上腹部に圧痛と反跳痛を認める。腸雑音は消失している。
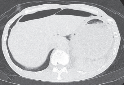
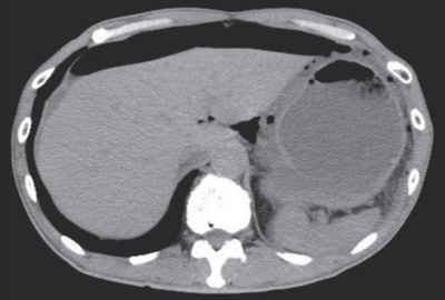
血液所見:赤血球 488万、Hb 14.8g/dL、Ht 44%、白血球12,200、血小板33万。血液生化学所見:総蛋白 6.1 g/dL、アルブミン 3.1 g/dL、総ビリルビン 0.2 mg/dL、AST 18 U/L、ALT 19 U/L、LD 135 U/L(基準120~245)、尿素窒素 10 mg/dL、クレアチニン 0.7 mg/dL。CRP 1.7 mg/dL。腹部単純CTの軟部条件と肺野条件を別に示す。
まず行うのはどれか。3つ選べ。
a. 絶食
b. 輸液
c. 腹腔穿刺
d. 経鼻胃管挿入
e. 上部消化管内視鏡検査
