医師免許申請用診断書

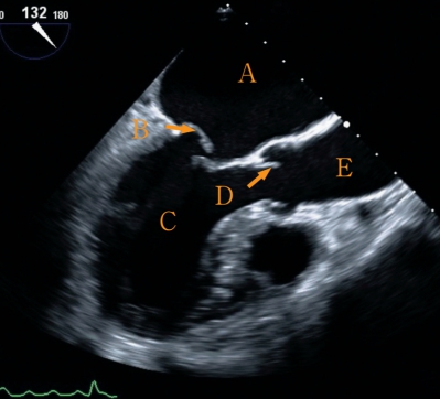
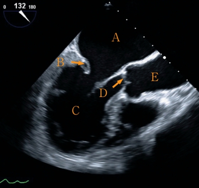
収縮期と拡張期の経食道心臓超音波像を別に示す。

正しいのはどれか。2つ選べ。

a. Aは右心房である。

b. Bは僧帽弁である。

c. Cは左心室である。

d. Dは肺動脈弁である。

e. Eは左心房である。

解答を見る

過去問チャートは、医療系国家試験の過去問をテーマ別に整理・解説した無料の学習サービスです。
※公式問題・正答は厚生労働省公開資料をもとに整理しています。


システム設計・解説記入:米澤 昌紘(X : @leknyan
(医師/日本橋内科クリニック院長)