62歳の女性。発熱と咳嗽を主訴に来院した。2か月前から微熱と咳嗽の増加を自覚していたが次第に悪化し、体重も2か月で5kg減少した。10年前に健診で糖尿病の可能性を指摘されたが、その後医療機関を受診していないという。
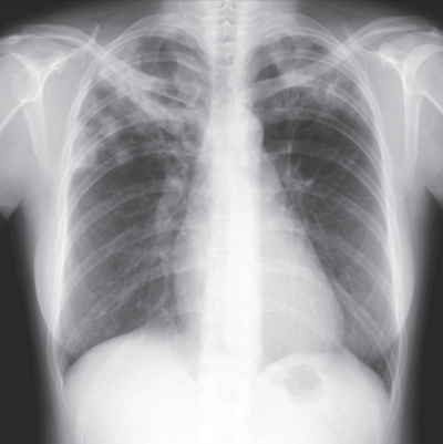
意識は清明。身長156cm、体重40kg。体温37.3℃。脈拍84/分、整。血圧124/82mmHg。呼吸数16/分。SpO2 98%(room air)。心音に異常を認めない。呼吸音は両側でcoarse cracklesを聴取する。来院時の胸部エックス線写真と胸部造影CTを別に示す。
来院時の外来診察で最も重要な感染予防策はどれか。
a. 陰圧個室での診察
b. 聴診器の単回使用
c. 撥水性ガウンの着用
d. サージカルマスクの着用
e. 麻疹ワクチン接種済の職員による診察
