30歳の男性。咳嗽と労作時の呼吸困難を主訴に来院した。14日前から咳嗽が出現し徐々に増強してきた。労作時の呼吸困難を伴うようになってきたため受診した。7年前から東南アジアへの頻回の海外渡航歴がある。
体温 36.5 ℃。脈拍 80/分、整。血圧 118/78 mmHg。呼吸数24/分。SpO2 91%(room air)。両側中下肺野にfine cracklesを聴取する。
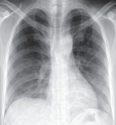
血液所見:赤血球414万、Hb 12.7 g/dL、Ht 25%、白血球 13,700(好中球 92%、単球 3%、リンパ球 5%)、血小板 37万。免疫血清学所見:CRP 0.4 mg/dL、β-D-グルカン 185 pg/mL(基準 10以下)。胸部エックス線写真、肺野条件の胸部CTおよび気管支肺胞洗浄液Grocott染色を別に示す。
適切な治療はどれか。
a. ST合剤の経口投与
b. メロペネムの点滴静注
c. ボリコナゾールの点滴静注
d. レボフロキサシンの点滴静注
e. アモキシシリン・クラブラン酸の経口投与
