2か月の女児。突然の意識障害のため救急車で搬入された。在胎 40週、出生体重 3,300gで出生した。出生後から母乳栄養で哺乳状態は良好であった。午後の哺乳が不良であったが、そのまま寝ていた。哺乳させようと抱いたところ、けいれんが起こり、ぐったりしたため母親が救急車を要請した。
身長 56 cm、体重 4.8 kg。体温36.8℃。心拍数 160/分、整。血圧 90/52 mmHg。呼吸数 36/分。SpO2 98%(マスク 5L/分 酸素投与下)。大泉門は膨隆している。対光反射は両側で遅延している。右肋骨弓下に肝を6cm触知する。
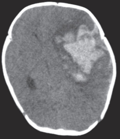
血液所見:赤血球 450万、Hb 9.5 g/dL、Ht 36%、白血球 10,800、血小板 25万、PT-INR 4.2(基準 0.9~1.1)、APTT 45.4秒(基準対照 32.2)、血液生化学所見:総蛋白 5.4 g/dL、アルブミン 3.3 g/dL、総ビリルビン 11.0 mg/dL、直接ビリルビン 6.8 mg/dL、AST 130 U/L、ALT 74 U/L、ALP 203 U/L(基準 114~339U/L)、γ-GT 410 U/L(基準 8~50U/L)、血糖 90 mg/dL。CRP 0.1 mg/dL。頭部CTを別に示す。
直ちに行うべき処置はどれか。
a. 鉄剤静注
b. ビタミンK内服
c. 生理食塩液点滴
d. 新鮮凍結血漿投与
e. 開頭による血腫除去
