52歳の男性。人間ドックの超音波検査で左腎の腫瘤を指摘され受診した。
意識は清明。身長172cm、体重76kg。体温36.5℃。脈拍72/分、整。血圧128/82mmHg。腹部は平坦で、腫瘤を触知しない。
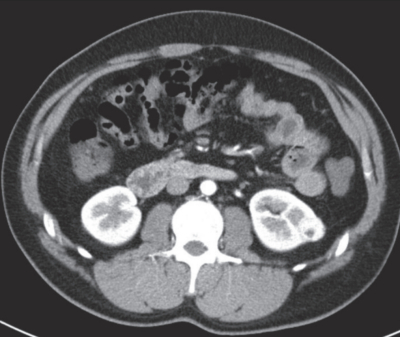
尿所見:蛋白(−)、糖(−)、ケトン体(−)、潜血+、沈渣に異常を認めない。血液所見:赤血球551万、Hb 14.8g/dL、Ht 45%、白血球5,600、血小板22万。血液生化学所見:総蛋白 7.3 g/dL、アルブミン 4.8 g/dL、総ビリルビン 0.9 mg/dL、AST 18 U/L、ALT 24 U/L、LD 179 U/L(基準 120~245)、尿素窒素 11 mg/dL、クレアチニン 0.9 mg/dL、尿酸 4.9 mg/dL、血糖 103 mg/dL、Na 143 mEq/L、K 4.2mEq/L、Cl 105 mEq/L、Ca 9.1 mg/dL。腹部造影CTを別に示す。胸部CT、骨シンチグラフィーで異常を認めない。
治療について適切なのはどれか。
a. 殺細胞性薬
b. 腎部分切除術
c. 腎尿管全摘除術
d. マイクロ波凝固療法
e. 免疫チェックポイント阻害薬
